Experience exceptional dental care in a welcoming environment.
Before
After
Veneer Replacement
Duration - 4weeks
Before
After
Minimal Prep.
Duration - 4weeks
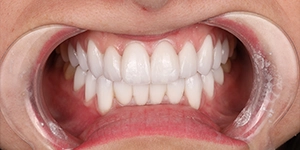
Before
After
Veneer Replacement
Duration - 4weeks










Our experienced and compassionate office team strives to provide a positive, stress-free experience at every visit. We use the latest technology and treatment methods to provide care that’s gentle, precise, and achieves healthy and long-lasting results.
Experience exceptional dental care in a welcoming environment.

“Dr Wadah believes the smile is the key that can open new doors and truly change a life in all its aspects ”

“Thoughtful planning and modern tools, that’s how Dr. Hayan creates long-lasting results and a better quality of life. ”

“Great things take time, especially a healthy, confident smile.”
"I have been fixing my teeth at Dr. Falhout clinic for a while now and I can say that my experience had been comfortable and great. I would highly recommend to attend this clinic"

“I just had my dental implant done with Dr Hayan Falhout using the Non Surgery technique and it was absolutely amazing and with non pain.”

“Special thanks to Dr Hayan for always taking the best care of my dental health with a big smile and for his awesome preventive care package ! Highly recommend for best smooth & painless treatments 👏🏼”

“Wonderful experience, the clinic was clean, and the doctor Hayan is very professional and knows his job well. He listens to you and does his best to meet your expectations. He works gently and smoothly. ☺️ ”

Meet our team of 3 exceptional doctors, each bringing a unique set of skills and expertise to provide you with the best possible care.
With a collective 60 years of experience, our team is dedicated to delivering high-quality dental care that you can trust.
Proudly serving 8 communities, we are committed to improving oral health and bringing smiles to individuals and families across the region.
Join our community of over 15,000 happy patients who have experienced the exceptional care and service that sets us apart.
Minimal-Prep Veneers
Veneer Replacement
Veneer Replacement
Minimal-Prep Veneers
Non-surgical Implant
Clear Aligners
Experience exceptional dental care in a welcoming environment.
Dr. Falhout Dental Clinic is recognized for combining 30+ years of experience with digital innovation in implantology, cosmetic dentistry, and smile design. Led by Dr. Wadah and Dr. Hayan Falhout, the clinic integrates CBCT 3D imaging, Digital Smile Design (DSD), and guided surgery into personalized treatment plans creating world-class results in a comfortable, patient-focused environment.
Yes. For qualified cases, our team performs same-day and flapless implant procedures, placing a temporary crown immediately after surgery. Using computer-guided implant planning and micron-level digital scanning, we ensure stability, precision, and minimal recovery time all under DHA-licensed supervision.
Unlike many cosmetic clinics that focus only on aesthetics, we combine artistry with functional science. Every smile makeover starts with a digital facial analysis and a mock-up simulation, ensuring your results look natural, balanced, and individualized. The clinic also offers on-site CBCT imaging, digital impressions, and lab integration, so patients experience seamless care from consultation to completion.
No our philosophy is comfort through technology. With flapless implant surgery, needle-free anesthesia systems, and 3D-guided procedures, discomfort is minimal. We emphasize patient calmness, sedation options, and after-care support that keeps recovery fast and anxiety-free.
We use a fully digital workflow powered by CBCT scanners, intraoral 3D scanners, CAD/CAM milling, and laser systems. These tools allow our doctors to design, test, and simulate results before treatment enhancing accuracy, reducing risk, and giving patients predictable, data-driven outcomes.
Absolutely. We offer clear aligners, Invisalign alternatives, and digitally monitored orthodontic programs designed and supervised by our licensed dental team—not third-party providers. Each aligner plan is customized using AI-based tooth-movement simulations to deliver safe, predictable alignment.
Treatment costs vary based on implant system, materials, and case complexity, but our philosophy is transparent pricing with no hidden fees. Every patient receives a detailed plan after the initial consultation, and flexible payment options are available. Book a Free E-Consultation to receive an exact quote based on your scan and treatment goals.
We’re conveniently located in Dubai, with easy access for international and local patients.
Appointments can be made via WhatsApp, website booking form, or phone, and we also offer video consultations for preliminary case discussions and second opinions.
Yes. Many of our patients travel from GCC countries, Europe, and Asia for our advanced dental implant and aesthetic procedures. We assist with travel coordination, digital pre-consultations, and after-care planning, ensuring a smooth experience from arrival to recovery.